Book an Appointment with Dallas dentist
Mothers’ Choice Dental: Your Trusted Dentist in Dallas, TX
Finding a dentist near me who truly cares about your comfort and long-term oral health shouldn’t be stressful. At Mothers’ Choice Dental, we’re dedicated to providing gentle, patient-focused care that puts your needs first. Our modern dental office in Dallas, TX, offers an amiable environment where you can feel confident about your treatment. From preventive checkups to restorative solutions, we make every visit comfortable, informative, and tailored to help you achieve lasting oral wellness.
Trusted Dental Office in Dallas, TX – Just Minutes Away!
Choosing the right dentist in Dallas, TX, matters for you and your family. We combine advanced technology with compassionate service to ensure exceptional care at every appointment. As a trusted dental clinic near you, we focus on accessibility, comfort, and communication to help patients of all ages feel relaxed and supported. Whether it’s a routine exam or a complex procedure, you can always count on your reliable dentist near me for personalized dental care that fits your schedule and lifestyle.
Get Quality Care from a Dentist Near You in Dallas
Discover compassionate care that fits your schedule and lifestyle. Whether you’re near Lakewood, Old East Dallas, or White Rock / Old Lake Highlands, our friendly team is ready to help. Call or book online today, your trusted home for healthy, confident smiles in Dallas awaits.
Dental Services Offered at Our Dental Clinic in Dallas
Hear Why people love Mothers' Choice Dental
Why Choose Us?
Setting the Standard for Exceptional Dental Care
Same Day Appointment
Get prompt care when you need it most with our convenient same-day appointments.
Saturdays Open
We’re here for you on Saturdays, making dental care accessible for your busy schedule.
Late Appointments
Flexible late appointment times ensure you can fit dental care into your evening routine.
Wheelchair Access
& Free Parking
Enjoy a stress-free visit with free parking and full wheelchair accessibility, ensuring easy access and comfortable care for all patients.
WE SPEAK SPANISH!
We’re proud to serve our Spanish-speaking community with friendly, compassionate dental care in your language.
Amazon & Netflix Access
We offer Amazon and Netflix streaming to help make your appointment more enjoyable and stress-free.
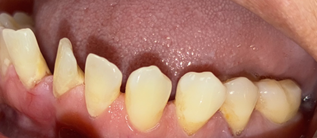
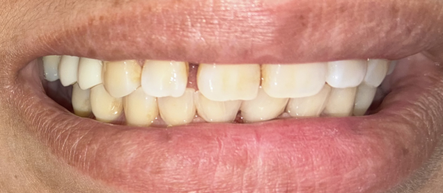
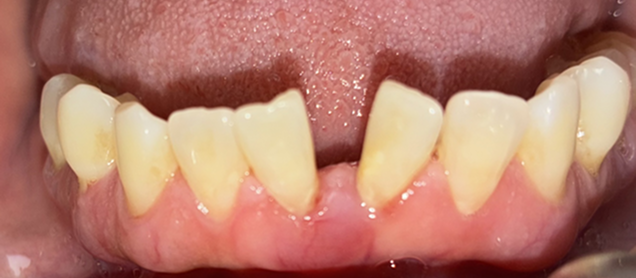
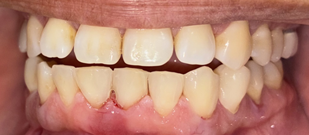
Our Gallery
Promotion
Our Special Offer

Free At-Home Whitening Kit with Invisalign
Enhance your smile even further with a complimentary at-home whitening kit when you begin your Invisalign treatment.
Professional-grade whitening for brighter results
Easy and convenient at-home use
Complements your new straight smile
Available with Invisalign treatment only

$500 Off Invisalign Treatment
Achieve a straighter, healthier smile with our limited-time Invisalign offer. Save $500 on clear aligners designed for comfort and convenience. Start your journey to a confident smile today!
Discreet, virtually invisible aligners
Customized treatment plan for optimal results
Comfortable and removable for easy daily use
Limited-time offer for qualifying patients

$50 New Patient Special
New Patient Exam & X-Rays
Emergency Exam & X-Rays
Taking care of your oral health has never been simpler. Book your appointment today at a special discounted rate!
Receive a thorough exam to assess your dental health
Includes X-rays for a comprehensive diagnosis
Ideal for a second opinion or emergency evaluation
Only for patients without insurance

Basic Dental Cleaning for Adults – Just $150!
Keeping your family’s smile healthy has never been easier. Book a simple dental cleaning for both adults and children at a special discounted rate!
Removes plaque and tartar buildup
Helps prevent cavities and gum disease
Includes a comprehensive oral health check
This offer is not applicable for patients with gum disease

































